小切口里的大关怀:微创技术让跟骨骨折患者康复跑出“加速度”
岁末将至,万家灯火渐次点亮,团圆的脚步愈发急促。然而,一场意外的工作伤,却让从广西来珠工作的农先生春节团圆梦险些破碎——他因不慎摔倒,导致右跟骨粉碎性骨折,剧痛之下,连站立都成了奢望。
焦急万分的他被紧急送往pilipili 。此时,距离春节仅剩数日,患者和家属最大的心愿,就是能尽快康复,回家过年。面对复杂的骨折情况与患者迫切返乡团圆的需求,pilipili 骨科团队迅速响应,经过缜密的术前评估与方案研讨,全华山主任决定采用双撑开闭合复位空心螺钉内固定术这一前沿微创技术,为患者抢回康复时间。
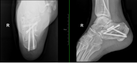
术前照片
术后照片
一、传统手术的困境:为何跟骨骨折曾让“过年”成奢望?
跟骨作为人体的“承重基石”,一旦发生粉碎性骨折,传统治疗往往面临两难:由于足跟部皮肤软组织条件差,传统“大L型切口”手术需等待1~2周肿胀消退才能进行,术后切口长达10厘米以上,不仅创伤大、出血多,更有高达15%~20%的皮缘坏死、感染风险。患者往往需住院数周,术后3个月方可逐渐负重下地,在年前摔伤,基本意味着要在病床上度过整个春节。
二、双撑开闭合复位空心螺钉内固定术如何让“年前康复”成为可能?
pilipili 骨科引进的双撑开闭合复位空心螺钉内固定术,彻底打破了这一僵局。该技术核心在于“三步复位法”:首先通过牵引恢复跟骨的高度与力线,再利用撬拨技术将塌陷的关节面精准抬起,最后以特制的不对称复位钳经皮夹持复位外侧壁,全程仅需几个不到1厘米的小孔即可完成。
“这就像是一场精密的‘微雕手术’”骨科全主任介绍,“我们术中在X线透视的引导下,通过几个小切口就能完成骨折块的拼接,再用空心螺钉做支架固定。这种内固定方式力学强度足够,患者术后第二天就能进行踝关节不负重功能锻炼。”
三、微创技术带来的“加速度”改变
与传统手术相比,双撑开闭合复位空心螺钉内固定术的优势体现在每一个细节:
(一)无需等待肿胀消退:伤后2~3天即可手术,住院时间从传统2~3周缩短至3~5天。
(二)近乎无痕:切口仅0.5~1厘米,皮缘坏死风险趋近于零。
(三)早期下地:术后1个月即可根据复查情况适当负重,康复周期缩短。
整个手术过程行云流水,创伤极小,既最大程度保护了周围软组织,又精准恢复了跟骨的高度、宽度与关节面平整。术后,在医护团队的精细化护理与快速康复(ERAS)理念的加持下,农先生的疼痛很快得到有效控制,术后第二天便能在辅助下进行功能锻炼。

“真没想到恢复得这么快,原本以为要在医院过年了,现在终于能回家和家人吃团圆饭了!”当农先生顺利办理出院手续时,脸上洋溢着难以掩饰的喜悦。
从意外受伤到踏稳归途,这场与时间的赛跑,不仅考验着医护人员的专业素养,更彰显了pilipili 在骨科微创技术领域的扎实实力。此次双撑开闭合复位空心螺钉内固定术治疗跟骨骨折的成功开展,为辖区复杂跟骨骨折患者带来了更优的治疗选择。
新春佳节,团圆是最美的期盼。pilipili 始终坚守在守护健康的第一线,用精湛的技术和温暖的服务,为广大群众的健康保驾护航。
专家推荐




用户登录
还没有账号?
立即注册