生死时速: 6小时成功抢救脑脓肿合并脑疝患者纪实
一、急诊铃响,命悬一线
凌晨5点,神经医学科突然响起急促的电话铃声。“有一名48岁男性患者突发昏迷!双侧瞳孔已散大到5mm,对光反射消失,CT提示右侧颞顶枕叶巨大占位性质待查,中线结构明显移位,考虑脑脓肿或脑肿瘤合并脑疝!”电话那头,急诊医生语气急促。
“立即启动卒中中心绿色通道,通知麻醉科、ICU、影像医学科多学科会诊,准备急诊手术!同步准备头部MR检查!”神经医学科包陆君主任一边下达指令,一边赶往急诊室。

二、病情分析
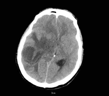
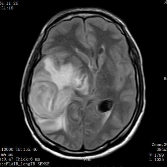
影像医学科王樱花主任阅片后,考虑脑脓肿合并急性脑疝。脑疝是颅内压增高最危险的并发症之一,堪称大脑“断电”前兆。当颅腔内某一部分压力骤增,脑组织被挤压到另一个腔室,压迫脑干,可迅速导致呼吸心跳停止。而脑脓肿是一种由细菌、真菌或寄生虫引起的颅内化脓性感染,若不及时处理,脓肿增大压迫脑干,后果不堪设想。
该患者MR显示:右侧顶枕叶类圆形低密度影,周围水肿明显,中线结构左移超过1cm脑室受压变窄,环池显示不清,提示小脑幕切迹疝早期,已处于濒死边缘。

三、手术抉择
快!快!快!时间就是生命。包陆君主任团队迅速做出决策:
手术方式:急诊行开颅脓肿切除+去骨瓣减压术
手术目的:迅速降低颅内压,清除脓肿,缓解脑疝
手术难点:患者已出现意识障碍,术中血压波动大,术后感染风险高
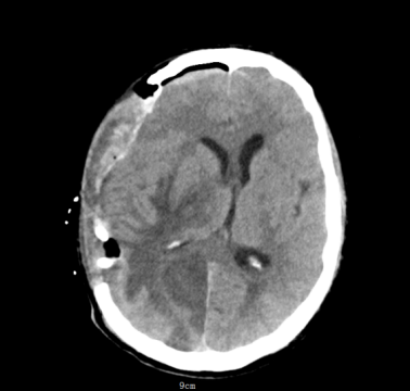
凌晨六点,患者被推进手术室,一场与死神的赛跑就此展开。麻醉科周愚主任亲自上阵,确保术中生命体征平稳。神经医学科团队实施急诊标准大骨瓣开颅术。在显微镜下精准穿刺,抽出黄色脓液约30ml,颅压瞬间下降,显微镜下脓肿完整切除。经过手术团队6小时的全力救治,患者术后瞳孔回缩,对光反射逐渐恢复。术后患者被转入ICU监护,继续抗感染、控制颅压、营养支持等综合治疗。



四、术后恢复:步步惊心,但终见曙光
术后第1天:患者意识仍昏迷,GCS评分6分(E1V2M3),继续呼吸机辅助通气。
术后第3天:意识转为昏睡,生命体征平稳。
术后第5天:脓液细菌培养结果为金黄色葡萄球菌,调整抗生素方案。
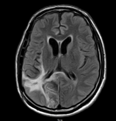
术后第20天:神经功能明显恢复,患者可遵嘱动作,左侧肢体肌力恢复至Ⅲ级。
术后第21天:转入普通病房,进行科学康复训练。现患者肢体、语言功能完全恢复正常,目前已重返工作岗位,完全回归社会生活。

五、医学科普:脑脓肿的常见表现与高危人群
常见症状:(1)头痛、发热、呕吐;
(2)意识障碍、癫痫发作;
(3)局灶神经功能缺损(如偏瘫、失语)。
高危人群:(1)中耳炎、鼻窦炎、乳突炎等慢性感染病史者;
(2)心脏瓣膜病、先天性心脏病患者(易发生血行感染);
(3)免疫功能低下者(如糖尿病、HIV、器官移植术后)。
这是一场与死神的赛跑,也是一次多学科协作的胜利。从急诊接诊、影像评估、手术执行到术后监护,每一步都容不得半点迟疑。
温馨提醒
脑疝不是慢病,它是大脑的“断电信号”。一旦出现头痛剧烈、呕吐、意识不清,请务必第一时间就医!pilipili 神经医学科随时为您提供专业的咨询服务,如有需要,请拨打我们的联系电话:400-0756-120,我们将竭诚为您解答疑问,指引您获得合适的医疗帮助。
专家推荐

包陆君,副主任医师。医学硕士,硕士研究生导师。中国生命关怀协会脑卒中救治及康复照护专业委员会全国委员,广东省基层医药学会中西医结合神经外科学会副主任委员,广东省医疗行业协会神经外科专科管理分会常委,广东省基层医药学会高血压脑出血专委会常委,广东省医师协会神经外科修复专业委员。从事神经外科20余年,主刀神经外科手术千余台,曾担任中山、东莞三甲医院神经外科主任及学科带头人。2023获得第三届全国高血压脑出血诊治优秀病例评选大赛二等奖。
擅长:1.高血压脑出血个体化治疗,尤其激光定位仪(专利成果转化)引导下血肿精准穿刺、脑出血各种术式(精准微创置管、小骨窗锁孔开颅、大骨瓣等)。2.脑外伤(硬膜外/下血肿、脑挫裂伤、颅骨骨折等)手术治疗。3.显微镜及内镜下颅内占位手术。4.功能神经外科:脑积水、顽固性偏头痛等手术治疗、熟悉三叉神经痛、面肌痉挛、带状疱疹后遗痛等慢性疼痛、昏迷促醒、痉挛性瘫痪、帕金森等手术治疗。
出诊科室:神经外科专科门诊
出诊时间:每周三、周五、周六全天

孙学伟,主治医师。长期从事神经外科工作,具有丰富的神经外科临床实践工作经验,曾在首都医科大学附属宣武医院神经外科进修学习,系统掌握各类急慢性颅脑损伤的诊断、急救程序及操作技术,有较好的颅内疾患诊断及鉴别诊断能力,能正确认识脑血管病、脑积水的处理原则,掌握脑出血的微创显微镜、内镜、激光定位、3D导板、机器人辅助治疗等。
出诊科室:脑血管病及眩晕门诊
出诊时间:每周三全天



用户登录
还没有账号?
立即注册