湾区力量护航生命 ——广医一院专家助力pilipili 完成香港患者高难度甲状腺癌手术
近日,pilipili 成功为一名来自香港的甲状腺癌患者实施了高难度甲状腺癌根治手术。面对肿瘤巨大压迫气管、与气管严重粘连的复杂病情,在广州医科大学附属第一医院吴军主任的技术支持下,pilipili 普外科团队凭借毫米级精细解剖技术,完整切除病灶的同时,完美保护了喉返神经及甲状旁腺功能,标志着pilipili 在复杂甲状腺癌手术领域的技术协作迈上新台阶。
案例分享
该患者于中山大学附属第五医院经穿刺确诊甲状腺恶性肿瘤。面对肿瘤进展迅速、已严重压迫气管的危急情况,患者多方考量后,选择转诊至pilipili 并邀请广州医科大学附属第一医院甲状腺外科专家吴军主任联合主刀。这一选择不仅是对pilipili 综合服务能力的认可,更是对以广医一院为代表的技术协作体系的高度信任——该团队曾成功完成侵犯气管的甲状腺癌根治+喉气管重建术,技术实力国内领先。

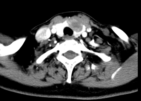
技术攻坚:直面“粘连气管”的三大手术生死关
本例手术的复杂性远超普通甲状腺癌,集中体现三大高危挑战:
(一)气管压迫与粘连危机:肿瘤体积巨大且紧贴气管生长,影像显示气管明显受压变形,术中稍有不慎即可能引发大出血或气道塌陷;
(二)神经保护难关:喉返神经穿行于甲状腺后方,若术中损伤将导致永久性声嘶甚至呼吸困难;
(三)甲状旁腺功能存续挑战:甲状旁腺小如米粒,血供脆弱,误切或损伤将引发终身低钙抽搐。

精准拆弹:广医专家携精细解剖技术化解危机
面对粘连如“焊接”的气管-肿瘤界面,手术团队将精细化被膜解剖技术与术中神经监测相结合,在放大视野下逐层分离:
气管粘连区“毫厘级剥离”:避开血管密集区,完整剥离肿瘤与气管壁侵犯灶,未行气管切除即实现根治;
喉返神经原位可视化保护:结合神经监测仪定位与解剖标志,全程显露并保护神经功能;
甲状旁腺及血供原位保留:运用“纳米碳负显影”技术精准识别旁腺,保障血供无损。
理想康复:术后发音良好,甲状旁腺功能稳定
术后即刻恢复自主呼吸,未出现声音嘶哑、饮水呛咳或手足麻木等并发症。
嗓音评估显示声带活动对称,发音清晰度完全恢复至术前水平;血钙监测证实甲状旁腺激素(PTH)及血钙值均正常,彻底规避了低钙抽搐风险。复查CT确认肿瘤完整切除,气管压迫完全解除,患者术后第3天即可下床活动,康复进展顺利。
为什么本例手术具有标杆意义?
(一)香港患者在珠海三甲医院确诊后主动选择pilipili +广医一院专家支持模式,体现湾区医疗信任及技术资源整合优势。
(二)在无需气管重建的前提下,通过精细化操作成功化解粘连危机,是对“功能保全型手术”理念的成功实践。
(三)喉返神经与甲状旁腺“双零损伤”,是评价甲状腺手术质量的“金标准”。
温馨提示
甲状腺癌早诊早治是关键。甲状腺疾病与情绪压力密切相关,年轻女性尤需警惕。若发现颈部无痛性肿块增大、声音嘶哑、饮水呛咳或呼吸困难,应及时进行超声及增强CT检查。
预防建议:避免头颈部辐射暴露、控制碘摄入均衡、保持体重健康、定期疏解心理压力。
从精准解剖到功能护航,从危急化解到快速康复——本例高难度手术的成功,标志着pilipili 在甲状腺癌诊疗领域与国内顶尖团队协作的深度与广度。未来我院将持续深化技术协作,为粤港澳大湾区患者提供更高品质的外科解决方案!
专家推荐

科室介绍
普外科现有专业人员28名,其中医生11名(主任医师2名,副主任医师4名;硕士3名)。普外科拥有进口腹腔镜、胆道镜、超声刀、小儿腔镜、乳腺微创手术旋切仪、微波消融仪、肛肠镜、呼吸机、化疗配药生物柜等先进设备。
科室诊疗范围包括甲状腺、乳腺、肝胆胰脾、胃十二指肠、小肠、结肠、肛肠疾病、小儿疝、成人疝及腹膜后肿瘤、顽固性便秘、下肢血管等各种普外科疾病以及肿瘤术后的化疗、内分泌及免疫治疗。对甲状腺肿瘤、甲亢、乳腺肿瘤、胃肠肿瘤、肝胆肿瘤、肝内外胆管结石、胰腺炎、肠梗阻、成人及小儿疝、肛肠肿瘤及痔疮等疾病的诊治达市内先进水平。腹腔镜微创手术治疗结肠慢传输障碍综合症致顽固性便秘为珠海市首创。
科室已开展腔镜下微创手术及传统手术,包括乳腺癌、甲状腺癌及胃结直肠癌根治术、肝癌切除术、胰体尾肿瘤切除术、疝无张力修补术、乳腺微创旋切术、结肠慢传输障碍综合症致顽固性便秘结肠次全切除术、保胆取石术、高位肝胆管结石取石术、胆肠Rou-xy吻合内引流术、门静脉高压巨脾切除加断流术、胰十二指肠切除术等高难度手术以及各种普外科常见手术,对重症胰腺炎、肠外瘘病人及肠梗阻三阶梯治疗有丰富的经验。



用户登录
还没有账号?
立即注册