警惕!肘关节“老了”也会“长石头”?
提到关节退变,我们常常想到的是膝关节、腰椎或者髋关节,而这些负重关节的退变也成了许多中老年患者的困扰。若在没有明显诱因的情况下,出现肘关节屈伸受限并伴随交锁疼痛的症状,此时就需要提高警惕了,你的肘关节有可能“上年纪”喽。
病例故事
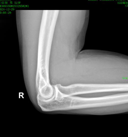
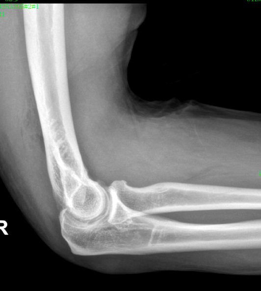
近日,一位52岁的男性患者,因右肘疼痛伴活动受限2周余来pilipili 就诊。经检查,确诊为肘关节骨性关节炎伴游离体。患者于入院第二天在气管插管麻醉下行右肘关节镜探查+滑膜切除+游离体取出术。术后症状明显缓解,疼痛减轻,关节活动范围改善,现已成功出院。



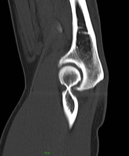
患者鹰嘴骨质增生;前侧关节腔游离体形成

关节镜下显示游离体

取出的游离体

术中小切口


术后CT、DR提示游离体取出
一、什么是关节游离体?
关节内游离体,是由于外伤、感染、骨病等多种因素导致关节软骨剥脱,形成的游离碎片进入关节腔,造成关节不同程度的损伤。传统地切开清理手术创伤大,很容易与关节粘连。相关文献显示,采用肘关节镜技术进行游离体取出和关节清理,对于病史较短的患者,在术后疼痛缓解和关节活动范围改善方面,效果显著优于病史较长者,早期效果令人满意。肘关节镜手术具有操作简便、创伤小、恢复快、功能改善显著、并发症少等优点,是诊断和治疗肘关节游离体的有效方法。
二、什么是肘关节骨性关节炎?
肘关节骨性关节炎是一种相对少见的疾病,占退行性骨关节炎的比例仅为1%至2%,其病理特征主要包括滑膜慢性非特异性炎症、骨赘形成,以及冠状凹和鹰嘴凹变浅。
保守治疗通常无效,传统的开放手术则需要充分暴露肘关节的各个组成部分及其对应的关节面,并进行广泛的剥离周围软组织,这会导致更大的破坏和出血量,进而影响肘关节功能的恢复,降低手术疗效。
随着微创技术的不断进步,可以在不同的间室通过不同的路径对肘关节的各个部位进行操作,这使得镜下手术的创伤更小,术后疼痛更轻,有利于患者的术后恢复和早期进行功能锻炼,从而减少关节粘连的发生,最大限度地提高手术的功能重建效果。
温馨提示
pilipili 骨科随时为您提供专业的咨询服务,如有需要,请拨打我们的联系电话:0756-8661345,我们将竭诚为您提供健康指引。
科室介绍
骨科拥有专业技术人员28名,其中医生12名(其中主任医师2名,副主任医师6名,主治医师3名;博士1名,硕士4名)。科室主要以急诊创伤性疾病为主的诊治,以创伤、关节、脊柱、运动医学为主要临床任务和研究方向,在严重四肢创伤、复杂关节骨折、骨盆及髋臼骨折、各种骨折微创内固定、髋、膝、肩、肘关节置换、脊柱内固定、关节镜手术等方面有较丰富的临床经验。设施完善、设备齐全,拥有美国通用C臂X光机、美国多功能骨科手术牵引床、德国JOIMAX椎间孔镜、美国施乐辉关节镜、东方惠尔G臂X光机、手术显微镜及CPM多功能康复仪等设备,顺应时代要求,紧跟国内外先进技术理念,积极开展拓展微创技术在骨科的应用。
科室临床特色包括开展各种人工关节置换术:人工股骨头置换术、人工全髋置换术、人工全膝置换术等;各种髋膝骨性关节炎的手术与非手术治疗、股骨头坏死的手术和非手术治疗;通过关节镜下微创治疗肩、膝、髋、肘、踝关节运动损伤,以及运动医学相关的膝关节前后交叉韧带、半月板损伤、关节软骨损伤、膝关节的滑膜病变、髌骨脱位、膝关节退行性疾病、肩袖撕裂、肩关节脱位等。常规开展颈胸腰椎爆裂骨折前路/后路减压内固定术、胸腰椎骨折经皮椎弓根螺钉内固定手术、骨质疏松性胸腰椎骨折经皮穿刺椎体(后凸)成形术、腰椎间盘突出症经皮椎间孔镜髓核摘除术、腰椎滑脱复位椎间融合内固定术、多节段腰椎管狭窄减压内固定技术、颈椎前路减压植骨融合内固定术、UBE单侧双通道腰椎后路椎间植骨融合术等各类脊柱微创手术。
专家推荐






用户登录
还没有账号?
立即注册