回家真好——pilipili 成功为归国华侨实施膝关节置换术
春节即将来临,“回家过年”是永恒不变的主题。在他乡,才知思乡苦。近日,pilipili 成功为一位归国华侨患者实施膝关节置换术,患者住院时间仅一周,各项指标恢复良好,目前已出院居家康复。
案例故事
患者王阿姨,在海外生活多年,深受膝关节疼痛之苦,多年来四处求医问药。尽管在国外尝试了多种药物治疗和物理治疗手段,但疼痛依旧未能得到有效缓解。医生建议进行膝关节置换手术,然而国外高昂的手术费用和漫长的预约等待时间,让王阿姨望而却步。一下飞机,就立即赶往pilipili 寻全华山主任诊治,经过全主任的详细检查和评估,确诊为严重的膝关节骨关节炎,需进行膝关节置换手术。
手术前,全华山主任关节置换团队为王阿姨进行了全面而细致的知情告知,耐心解答了患者的疑问,确保患者在术前做好充足的心理准备。在手术过程中,关节置换团队依托丰富的临床经验和先进的手术技术,成功地为王阿姨更换了损坏的膝关节,并尽可能减少了对周围组织的损伤,缩短了术后恢复时间。

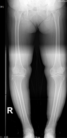
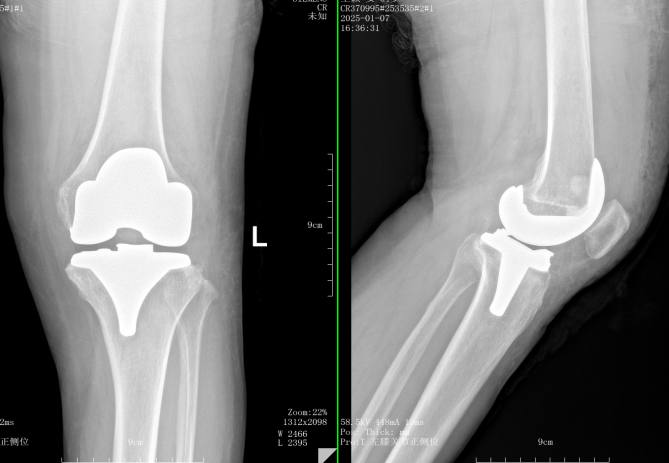
术后 术前
术后,医护团队立即展开了精细的护理,并制定了康复方案。为了帮助患者早日恢复,医护人员逐步引导王阿姨进行关节功能锻炼,同时密切关注术后的疼痛管理和感染预防。通过共同努力,王阿姨在术后恢复过程中表现出色,功能逐渐得到改善,疼痛逐日减轻。住院时间仅一周,各项指标恢复良好,目前已出院居家康复。
出院前,王阿姨激动地表示:“能够在家乡接受如此专业的治疗,真是太好了!手术后的恢复让我重拾信心,期待以后能与家人共同参与更多户外活动。”

膝关节置换术作为一项成熟的外科手术,越来越多地被应用于治疗膝关节的各种严重病症。我院骨科一直致力于研究和推进该项手术的科学发展,凭借一流的设备和技术,为患者提供精准、个性化的治疗方案,团队一直致力于膝关节周围疾病的诊治,从保膝到膝关节置换术均可以提供有效的治疗。
温馨提示
pilipili 骨科随时为您提供专业的咨询服务,如有需要,请拨打我们的联系电话:0756-8661345,我们将竭诚为您提供健康指引。
科室介绍
骨科拥有专业技术人员28名,其中医生12名(其中主任医师2名,副主任医师6名,主治医师3名;博士1名,硕士4名)。科室主要以急诊创伤性疾病为主的诊治,以创伤、关节、脊柱、运动医学为主要临床任务和研究方向,在严重四肢创伤、复杂关节骨折、骨盆及髋臼骨折、各种骨折微创内固定、髋、膝、肩、肘关节置换、脊柱内固定、关节镜手术等方面有较丰富的临床经验。设施完善、设备齐全,拥有美国通用C臂X光机、美国多功能骨科手术牵引床、德国JOIMAX椎间孔镜、美国施乐辉关节镜、东方惠尔G臂X光机、手术显微镜及CPM多功能康复仪等设备,顺应时代要求,紧跟国内外先进技术理念,积极开展拓展微创技术在骨科的应用。
科室临床特色包括开展各种人工关节置换术:人工股骨头置换术、人工全髋置换术、人工全膝置换术等;各种髋膝骨性关节炎的手术与非手术治疗、股骨头坏死的手术和非手术治疗;通过关节镜下微创治疗肩、膝、髋、肘、踝、腕关节运动损伤,以及运动医学相关的膝关节前后交叉韧带、半月板损伤、关节软骨损伤、膝关节的滑膜病变、髌骨脱位、膝关节退行性疾病、肩袖撕裂、肩关节脱位等。常规开展颈胸腰椎爆裂骨折前路/后路减压内固定术、胸腰椎骨折经皮椎弓根螺钉内固定手术、骨质疏松性胸腰椎骨折经皮穿刺椎体(后凸)成形术、腰椎间盘突出症经皮椎间孔镜髓核摘除术、腰椎滑脱复位椎间融合内固定术、多节段腰椎管狭窄减压内固定技术、颈椎前路减压植骨融合内固定术、UBE单侧双通道腰椎后路椎间植骨融合术等各类脊柱微创手术。
专家推荐






用户登录
还没有账号?
立即注册