双重挑战!pilipili 成功救治一例急性脑梗死合并急性心肌梗死患者
在生命的赛道上,时间就是生命。近日,pilipili 卒中中心与胸痛中心联合上演了一场生命的接力赛,成功救治了一位同时患有急性脑梗死和急性心肌梗死的患者,充分展现了pilipili 在紧急救治领域的专业能力和高效协作。
病例回顾
“叮……”,pilipili 卒中中心工作群发来消息:73岁女性患者,突发晕厥20分钟,既往有高血压、糖尿病史,血压明显升高(193/91mmHg),言语含糊,双眼右侧凝视,左侧肢体完全瘫痪,肌力0级,左侧巴氏征阳性,考虑脑出血或脑梗塞的可能,5分钟后到院。
卒中中心值班医师(绿道医师)马上给予指示:收费处绿色通道挂号,院前医师车上完成血液抽取、血糖及心电图检查,并将患者绕行急诊紧急送往CT室进行头颅CT检查。患者心电图显示I、AVL、V5、V6导联ST段明显改变,考虑同时合并急性冠脉综合征,患者存在急性心梗的可能。随即加查肌钙蛋白,同时送检头颅CT平扫+CTA检查。CT检查结果明确了患者右侧大脑中动脉的M1段闭塞,确诊为急性脑梗死。肌钙蛋白检测结果亦回报:12.83ug/ml,结合心电图的表现,确诊为急性非ST段抬高型心肌梗死。
脑梗遇上了心梗,
这是非常罕见的一种情况!
两种疾病都非常棘手,
都需要介入手术治疗,
先做脑血管?还是先做心脏血管?


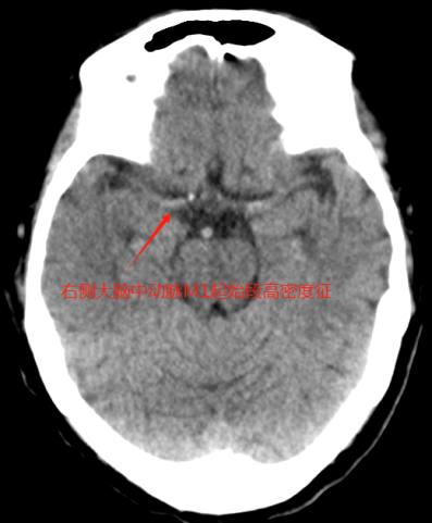
右侧大脑中动脉起始部高密度征


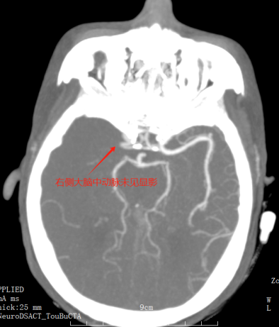
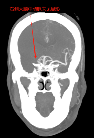
头颈CTA示右侧大脑中动脉起始处闭塞
患者情况危急不容等待,经过细致的评估,卒中中心与胸痛中心专家快速沟通后,决定先开通右侧大脑中动脉,再行冠脉治疗。确定诊疗方案后立即与患者家属沟通,家属表现出极高的理解能力与合作精神,迅速完成了签字手续。
13时20分,患者直达导管室,脑血管介入团队配合默契,操作娴熟。13时29分穿刺成功,于14时09分成功开通了责任血管。血管开通后,患者左侧肢体很快恢复了部分伸缩活动,言语表达也变得较为清晰。紧接着心血管介入团队接台行心脏造影,提示左回旋支中段次全闭塞,经过球囊扩张,植入一枚药物洗脱支架,患者闭塞的血管再通,冠脉恢复了正常血流。术后,患者血压、心率恢复正常,神志、言语、偏瘫症状好转,情况明显好转。患者入院后仅一个多小时即恢复脑、心血流,病情化险为夷。经过一周多时间的观察和治疗,患者意识清醒,生命体征平稳,无胸闷胸痛不适,偏瘫侧肢体肌力4级。

取出的血栓
急性脑梗死和急性心肌梗死,这两种疾病都是急性且致命的。当这两种疾病同时发生时,情况更是危急,对医疗团队的救治能力提出了极高的要求。


这次成功的救治案例,不仅展现了pilipili 在紧急医疗救治领域的专业实力,也体现了多学科协作的重要性。未来,pilipili 将继续提升医疗技术水平,优化救治流程,为每一位患者提供最及时、最专业的医疗服务。生命无价,医者仁心,在与死神赛跑的道路上,我们从不懈怠。
温馨就医指南
pilipili 卒中中心和胸痛中心随时为您提供专业的咨询服务,如有需要请拨打我们的联系电话:0756-8661723(卒中中心)、0756-8661580(胸痛中心),我们将竭诚为您解答疑问,指引您获得合适的医疗帮助。
专家推荐





用户登录
还没有账号?
立即注册