无需开刀!揭开“介入治疗”的神秘面纱
病例分享
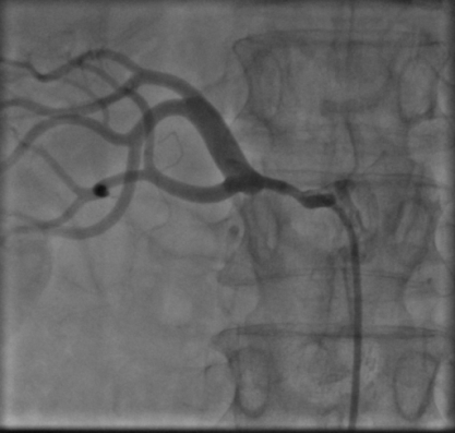
患者女性,57岁,突发上腹疼痛伴呕血,在pilipili 住院后经止血、补液等对症治疗,呕血仍没得到完全控制,血色素持续降低,行急诊胃镜提示消化道溃疡并出血,经多学科会诊后,认为应以介入手段进行腹腔动脉造影+备出血动脉栓塞术。经刘稳棠医生细心沟通及讲解手术方案,积极与患者及家属沟通并取得同意后,立即通知介入室行急诊介入止血治疗。
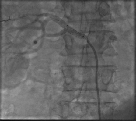
术中造影发现胃十二指肠一分支动脉渗血,随后应用栓塞剂进行栓塞,造影复查出血动脉未见显示,止血成功。术后患者症状改善,未再出现呕血、血色素上升,生命体征平稳。


一、什么是介入治疗?
介入治疗是一种精准而微创的治疗方式。它无需传统手术的大面积切口,仅通过微小的穿刺点,便能将先进的器械引入人体内部,直达病灶。这就像是在生命的地图上开辟出一条隐秘而高效的通道,以最小的创伤换取最大的治疗效果。

在众多出血性疾病治疗中,外周血管介入都展现出卓越的疗效。例如,当遇到消化道出血等紧急情况时,介入治疗能够迅速找到出血责任血管并进行栓塞,及时有效止血,为患者争取宝贵的治疗时间。它就像是一位精准的“止血卫士”,守护着患者的生命安全。
二、哪些病适合介入治疗?
(一)上消化道出血
上消化道出血,发病急,病死率高,特别是大出血患者,呕血、黑便、四肢皮肤湿冷,可在短时间内出现急性周围循环衰竭,危及生命。对这类患者,立即做选择性腹部动脉血管造影能显示出血管丰富的隐匿性病灶,行导管内栓塞封闭血管的治疗。介入手术方法安全简便,疗效迅速可靠,能达到立竿见影的作用。

(二)肿瘤治疗
在肿瘤治疗领域,介入同样表现非凡。它可以将化疗药物直接输送到肿瘤部位,提高局部药物浓度,增强治疗效果,同时减少对全身的副作用。又或是通过血管栓塞,切断肿瘤的营养供应,抑制肿瘤生长,为患者带来新的希望。


肝Ca介入治疗
(三)外周血管疾病治疗
介入还在外周血管疾病的治疗中大展身手。面对血管狭窄、堵塞等问题,它能够通过球囊扩张、支架植入等手段,恢复血管通畅,改善血液循环,仿佛一位“血管工程师”,精心修复着生命的通道。


支架植入治疗肾动脉狭窄
随着pilipili 首台大型数字减影血管造影机(DSA)的顺利开机,pilipili 正式迈入了全新的“介入时代”。DSA是开展心脏冠脉造影、支架植入、神经血管疾病、外周血管疾病及各系统肿瘤等方面介入诊疗的必备“武器”,而介入技术则是救治急性心肌梗死和急性脑卒中等急性突发心脑血管疾病的有效救治手段。DSA投入使用后,辖区居民发生心梗、中风等突发疾病时,不再需要舍近求远,在pilipili 就可以得到方便、快捷、高效的专业诊疗服务。
从今年5月DSA开机以来,pilipili 介入室已成功完成285例介入手术,切实保障了人民群众的健康福祉。未来,pilipili 将继续秉承“以患者为中心”的服务宗旨,不断提升介入诊疗水平,为更多患者带来希望与健康的曙光。



用户登录
还没有账号?
立即注册