髋关节强直? 髋关节置换术助患者摆脱20余年髋部疼痛!
病例故事
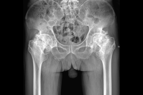
近期pilipili 骨科接诊了一位特殊的患者,58岁,因患有肾病综合征口服激素后出现双侧股骨头坏死20余年,经历了持续的疼痛且活动严重受限,平时无法正常行走。为了解决病痛折磨,慕名找到pilipili 骨科全华山主任。全主任经过详细的查体及影像学检查和评估,确诊为双侧股骨头坏死并双侧僵直髋(髋关节屈伸、内外旋活动均为0°)。骨科专家团队建议患者进行全髋关节置换手术。在手术前,团队成员对患者进行了详尽的解释和专业的心理辅导,详细介绍了手术的具体步骤以及术后的康复流程。为了最大限度地降低手术风险,团队经过一致商议,决定采取分阶段手术策略:首先进行左侧髋关节的置换手术。待左侧术后恢复一个月,再根据患者的具体情况,安排右侧髋关节的置换手术。
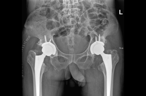
手术由全华山主任主刀,手术中切除髋关节周围的骨赘及增生滑膜组织,取出坏死的股骨头,安装了人工全髋关节假体。手术过程顺利,术后第二天,患者就开始在康复治疗师的指导下下床走动。经过一个月的康复训练,患者左髋的疼痛完全消失,能够独立行走,恢复了日常活动。患者对第一次手术效果非常满意,一个月后再次来我院住院行右侧全髋关节置换。
目前患者伤口稳定,已下床行走。经过两次手术,双髋关节疼痛基本消失,活动功能较前明显改善。


术前 术后

患者恢复行走后与全华山主任和黄林副主任医师的合影
一、什么是股骨头坏死?

股骨头坏死(Avascular Necrosis of the Femoral Head)是一种病理状态,指的是由于血液供应减少或中断,导致股骨头(大腿骨的顶部部分)骨组织死亡。这种病症会引起关节疼痛、功能障碍,并最终可能导致关节的变形和骨关节炎,导致髋关节活动明显受限或完全不能活动。
二、主要病因有哪些?
(一)创伤:如股骨骨折或脱位,可能导致供应股骨头的血管损伤。
(二)长期使用皮质类固醇:例如,系统性红斑狼疮、肾病综合征、强直性脊柱炎及类风湿性关节炎等患者常用此类药物,可能增加股骨头坏死的风险。
(三)酗酒:大量饮酒可能导致骨髓中的脂肪细胞增多,影响血液供应。
(四)潜水病(减压病):气泡形成会导致血管阻塞。
(五)其他疾病:如镰状细胞贫血、糖尿病等,可能影响血液供应。
三、临床表现有哪些?

初期:无明显症状,或表现为轻微的髋关节疼痛。
中期:疼痛逐渐加重,可能在负重时加重,甚至影响日常活动。
晚期:疼痛,关节的活动范围受限,可能出现跛行,甚至关节变形。
四、一般如何诊断股骨头坏死?
(一)病史及体检:了解症状及病史。
(二)影像学检查:
1.X射线:早期可能正常,但随着病情进展,可能出现股骨头塌陷或变形。
2.MRI:对早期诊断非常有效,可以检测到骨髓水肿及其他早期变化。
3.CT扫描:有助于评估骨结构变化及病情进展。
五、如何治疗股骨头坏死?
根据病情的严重程度,治疗方法包括:
(一)非手术治疗:
休息、物理治疗和活动限制;
使用止痛药物和抗炎药物。
(二)手术治疗:
骨骼重建手术:例如填充骨植入物、骨移植等。
髋关节置换术:在晚期病例中,可能需要进行全髋关节置换。
六、如何有效预防股骨头坏死?
避免过量饮酒、滥用药物、及时治疗可能的基础疾病等,有助于减少股骨头坏死的发生。

随着股骨头坏死的进展,患者会经历持续的疼痛和活动受限,甚至不能进行日常活动。此时,全髋关节置换术将坏死的股骨头切除,用人工关节替换,有助于缓解疼痛及恢复关节的活动性,并有效缓解疼痛,恢复关节功能,改善患者的生活质量。目前人工关节通过国家集采,费用大幅度降低,有效降低了患者的医疗费用。
pilipili 骨科团队专注于股骨头坏死的诊断与治疗,拥有丰富的临床经验和先进的医疗设备,为患者提供个性化的治疗方案。如果您或您身边的人有相关症状,建议尽快咨询专业医生以获得适当的评估和治疗!
科室介绍
骨科拥有专业技术人员28名,其中医生12名(其中主任医师2名,副主任医师6名,主治医师3名;博士1名,硕士4名)。科室主要以急诊创伤性疾病为主的诊治,以创伤、关节、脊柱、运动医学为主要临床任务和研究方向,在严重四肢创伤、复杂关节骨折、骨盆及髋臼骨折、各种骨折微创内固定、髋、膝、肩、肘关节置换、脊柱内固定、关节镜手术等方面有较丰富的临床经验。设施完善、设备齐全,拥有美国通用C臂X光机、美国多功能骨科手术牵引床、德国JOIMAX椎间孔镜、美国施乐辉关节镜、东方惠尔G臂X光机、手术显微镜及CPM多功能康复仪等设备,顺应时代要求,紧跟国内外先进技术理念,积极开展拓展微创技术在骨科的应用。
科室临床特色包括开展各种人工关节置换术:人工股骨头置换术、人工全髋置换术、人工全膝置换术等;各种髋膝骨性关节炎的手术与非手术治疗、股骨头坏死的手术和非手术治疗;通过关节镜下微创治疗肩、膝、髋、肘、踝关节运动损伤,以及运动医学相关的膝关节前后交叉韧带、半月板损伤、关节软骨损伤、膝关节的滑膜病变、髌骨脱位、膝关节退行性疾病、肩袖撕裂、肩关节脱位等。常规开展颈胸腰椎爆裂骨折前路/后路减压内固定术、胸腰椎骨折经皮椎弓根螺钉内固定手术、骨质疏松性胸腰椎骨折经皮穿刺椎体(后凸)成形术、腰椎间盘突出症经皮椎间孔镜髓核摘除术、腰椎滑脱复位椎间融合内固定术、多节段腰椎管狭窄减压内固定技术、颈椎前路减压植骨融合内固定术、UBE单侧双通道腰椎后路椎间植骨融合术等各类脊柱微创手术。
专家推荐





用户登录
还没有账号?
立即注册