开启颅内动脉瘤治疗新篇章 ——pilipili 成功开展密网支架置入术
近日,pilipili 康复医学科(脑卒中中心)成功开展了pilipili 首例经股动脉置管颈内动脉瘤血流导向装置(密网支架)植入,这也是pilipili 首例颅内动脉瘤介入栓塞术。手术的顺利进行,不仅为pilipili 神经介入诊疗领域揭开了全新的篇章,也标志着pilipili 在神经介入治疗技术上的又一次飞跃。

案例回顾
方女士(化名)因反复头痛头晕、眼睛看不清来pilipili 就诊,经颅脑核磁共振及脑血管造影检查明确为颈内动脉瘤。在接受DSA引导下的介入治疗,包括血流导向装置(密网支架)的植入后,方女士的头痛和眩晕症状完全消失,视力明显改善,饮食、行走等日常生活能力已恢复至正常水平,并已顺利康复出院。

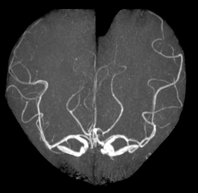
术前MRA见左侧颈内动脉瘤:

造影检查并做好手术预案:



密网支架(血流导向装置)治疗颅内动脉瘤效果:


转归参考:

一、什么是“动脉瘤”?
动脉瘤并非肿瘤,无良恶性区分。它是动脉管壁局限性异常扩大,如气球般的隆起,动脉瘤通常看起来像挂在茎上的浆果。就像藏在体内的一颗“不定时炸弹”,一旦“爆炸”就可能引发剧烈头痛、偏瘫、失语、昏迷,甚至死亡,是最凶险的脑血管病之一。但是在“爆炸”前头颈部疼痛症状可能比较轻微,普通的X光、CT平扫都难以发现。大多数小动脉瘤破裂风险较低,并不严重,它们通常不会引起明显症状。在很多情况下,无症状的脑动脉瘤是在其他疾病的检查过程中发现的。

目前还没有明确证据表明能够预防动脉瘤的发生,但大量研究显示高血压、高血脂、肥胖、糖尿病、嗜酒、吸烟、多囊肾病、脑动静脉畸形、脑动脉瘤家族史等因素与动脉瘤的发生密切相关。建议60岁以上的中老年人每年接受常规体检并将脑动脉瘤筛查纳入其中。若为多危险因素的高危人群,建议45岁以上人群常规筛查。

遇到头痛头晕时切莫大意,尤其是症状剧烈、持续不能缓解的患者,可能是脑血管病发病的信号,要及时到医院诊治,避免发生严重的后果。pilipili 24小时全天候诊,同时构建了“脑卒中介入绿色通道”,优化诊疗流程,坚持以“微创、安全、快速、舒适”的治疗理念为导向,构建一站式、高水平、高效率的脑卒中急救系统,助力医院实现高质量的发展目标。
二、血流导向装置植入手术优势
血流导向装置是在颅内动脉瘤血流动力学研究基础上发展起来的一种血流重塑装置,其出现改变了颅内动脉瘤血管内治疗的理念,将以往的囊内栓塞转向载瘤动脉的重建。由于其较普通颅内支架拥有更细密的网格以及更强的血流导向能力,所以更有利于动脉内皮细胞的移行生长及瘤颈覆盖闭合。通过血流导向装置的高金属覆盖率和高网孔率设计,对局部血流进行重塑,将载瘤动脉向动脉瘤内的冲击血流导向远端正常血管内,从而减少局部血流对动脉瘤的冲击,使动脉瘤内的血流动力学情况得以改善,最终在动脉瘤内形成血栓,进而实现动脉瘤的闭塞。
优势一:
血流导向装置(密网支架)置入后,提供血管内皮细胞攀爬生长的脚手架,促使内皮化修复,最大程度保留原有血管正常解剖结构,在颅内巨大动脉瘤治疗中优势显著,无复发风险。
优势二:
血流导向装置(密网支架)可减轻动脉瘤占位效应。
优势三:
对于复杂动脉瘤,多发动脉瘤,血流导向密网支架一般无需填圈可减少手术时间,降低手术难度,减少手术并发症风险。
科室介绍
康复医学科(脑卒中中心)成立于2016年5月31日,主要以急性脑梗死溶栓等药物及介入救治、急性脑出血手术及药物救治、脑梗死康复治疗、脑出血康复治疗、脊髓损伤康复治疗、周围神经损伤康复治疗、各类骨科术后康复治疗、肌骨疼痛康复治疗以及老年病康复治疗等为特色的临床专科。科室由康复(针灸理疗)门诊、脑血管病及眩晕门诊、神经外科门诊三个专科门诊,传统康复区、现代康复区、门诊康复区三个康复治疗区,康复病区、脑卒中中心病区2个住院病区组成。
目前科室有专业技术人员76名,其中医师20名(硕士研究生学历以上10人,副主任医师6人,主治医师8人,住院医师4人,助理医师2人),康复治疗师28名,核编床位87张。科室设施完善、设备齐全,配备万元以上设备92台,十万元以上设备17台,五十万元以上设备1台,拥有卡尔蔡司神经外科显微镜、神经肌肉电刺激治疗仪、吞咽障碍训练仪、上下肢智能训练系统、中低频治疗仪等各种康复器材,可进行常见神经外科手术治疗、脑血管病介入检查及治疗,系统开展功能评定和物理治疗、运动治疗、作业治疗、言语治疗、心理康复、传统康复治疗、康复工程等康复医学诊断和治疗技术,具有鲜明的专科特色,以传统康复与现代康复相结合的新康复医学模式运行,为患者提供全面、系统、专业的康复医学诊疗服务。
2016年康复医学科被评为香洲区临床重点专科,2021年被评为珠海市“十四五”市级临床重点专科(甲等)建设单位,是珠海市二级医院里唯一一个获评甲等的市级临床重点专科。
康复医学科主要收治病种包括:急性脑梗死、急性脑出血、脑梗死康复期及后遗症期、脑出血康复期及后遗症期、脊髓损伤、周围神经损伤、各类骨科术后、颈椎病、腰椎病、骨质疏松症、骨关节炎、肩周炎等。
医生介绍





用户登录
还没有账号?
立即注册