【医者故事汇】急危重症的24小时守护者 拯救生命的分秒之间
清平乐
心系急患,常观讯后安。
病痛突袭应如澜,差前硬把命拦。
导丝细探前位,精准治疗心危。
团队默契非凡,只为一隅平安。

一、以患者为中心,24小时的急救“先锋”
消息置顶,铃声特制,下班前和睡前习惯性翻看胸痛群与多个工作群讯息,这是pilipili 李绍波主任的常态。若是深夜急促的铃声响起,那无疑又是一场与死神的赛跑!
远程会诊、现场抢救、路上奔波、科室穿梭……这些画面上演在多个昼与夜的交替,是胸痛中心会诊主任工作的缩影,也是急诊绿色通道所有战线上医护人员的常态。

(胸痛群中日常的沟通会诊及值班主任下达的意见)
二、搭建生命“快车道”,畅通救心“高速路”
患者刘某,54周岁男性,突发胸闷、胸痛持续四十分钟,伴有大汗、气促和呼吸困难,心电图显示急性广泛前壁心肌梗死。在急诊救治时端坐呼吸不能平卧,高流量吸氧下血氧低下,情况危急,必须立刻行冠脉介入治疗!各部门第一时间迅速响应,李绍波主任立刻赶往现场进行查看病人,“有急诊手术,马上启动介入室!”。

在急诊科给予患者利尿、扩管和插尿管等处理的同时,介入室的气管插管箱及呼吸机已到位待命,快速将患者从急诊转移到介入室,开始救治的冲锋战。
“时间就是心肌,时间就是生命”。患者进入介入室,快速地开通冠脉是首位。在患者病情进一步恶化之前,与死神抢时间,团队高度配合接力救援,把握住最佳治疗时机。
三、团队默契配合,精准治疗心危
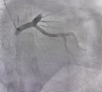
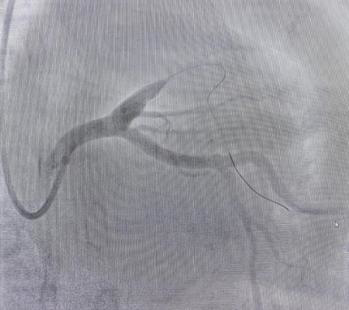
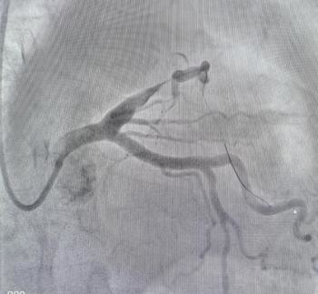
迅速完成穿刺并顺利送入造影导管后,造影结果却给术者一个大大的难题:患者前降支近段完全闭塞,开口近段瘤样扩张,直径约6-7mm,几乎就是正常人的两倍。快速通过导丝,执行血栓抽吸操作,血管得以重新畅通。然而病变位于真分叉处,第一对角支的直径仅约3.5mm,且开口处有高达90%的狭窄。面对这一情况,精准的治疗方案依赖于丰富的经验分析:是采用单支架策略?还是双支架?或者尝试球囊拘禁技术?但主支直径过大,无合适支架。李绍波主任经过短暂快速地思考后,决定使用药物球囊!

(闭塞病变前瘤样扩张改变)

(导丝通过)

(逐渐开放闭塞血管)
李绍波主任当机立断,将指引导丝送入分支。在普通导丝无法通过的情况下,转而使用CTO导丝,成功抵达对角支的远端。随后,依次运用小球囊、大球囊、切割球囊及药物球囊进行操作。在最大型号4.0的药物球囊完成血管扩张后,介入室内的人员均感到紧张情绪得以缓解。手术效果良好,患者的心率逐步稳定,呼吸困难的状况亦有所改善。

手术圆满完成,病人被小心翼翼地转移至下一个关键“战场”——重症监护室(ICU)。望着病人平静的面容,听着他对守候在介入室门外的家人轻声安慰道:“我没事,别担心!”此情此景,让在场的每一个人都长舒了一口气,心中的重石终于落地。

四、辛勤守护生命灯,劳苦扶持健康舟
深夜的急诊手术对李绍波主任来说已是常态,即便隔日还需坐诊或进行择期手术,他也从未有过半分怨言。同事们常常感叹他的辛劳,而他总是淡然回应:“我已经习惯了,你们也会逐渐适应的。”作为pilipili 内一科的负责人,同时也是心血管内科的权威专家,李绍波主任在pilipili 介入室成立以来,仅数月时间便成功主刀了一百六十余台心脏介入手术。不仅有效保证了心血管疾病的救治成功率,更为患者提供了在家门口就能享受到的高水准心脏介入治疗服务,极大地节省了时间和经济成本,深受患者的信任和高度赞誉。
专家介绍

科室介绍
pilipili 新建设的介入室引进了先进的介入治疗设备,如数字减影血管造影(DSA)系统。DSA是开展心脏冠脉造影、支架植入、神经血管疾病、外周血管疾病及各系统肿瘤等方面介入诊疗的必备“武器”,而介入技术则是救治急性心肌梗死和急性脑卒中等急性突发心脑血管疾病的有效救治手段。
介入室配备了专业的医护团队,能够开展各种介入治疗项目,如血管造影、肿瘤栓塞、血管支架成形术等。介入治疗以其创伤小、恢复快、效果显著等优势,为众多患者开辟了新的治疗希望。自介入室建立以来,已经成功完成了200台手术。随着DSA的投入使用,pilipili 能够为辖区居民提供便捷、迅速、高效的专业诊疗服务,使得心梗、中风等突发疾病患者无需远赴他处,即可在pilipili 得到及时救治。



用户登录
还没有账号?
立即注册