饿死肿瘤细胞! pilipili 完成首例肝动脉灌注化疗栓塞术
近日,pilipili 消化内科携手介入中心成功联合开展了院内首例肝动脉化疗栓塞术(TACE),标志着这一新技术的应用。此技术的进步为肝癌患者带来了更多治疗希望,同时,也为pilipili 追求高质量发展提供了坚实的技术支撑。
案例回顾
患者魏大爷在去年的体检中发现了肝脏占位性病变,但当时并未引起足够的重视。直至今年九月再次体检,发现肿块直径已惊人地增长至8厘米,遂来pilipili 消化内科就诊。结合魏大爷的乙肝小三阳病史,以及食欲减退、全身乏力的临床表现,接诊医生初步诊断为肝癌。消化内科温育鹏主任对患者病情进行了全面考量,在获得家属同意的前提下,与介入科医师刘稳棠多次深入交流,最终决定采用“肝动脉化疗栓塞术”进行治疗。在刘稳棠医生的精确操作下,手术得以顺利实施。术后,患者在医护人员的悉心护送下安全返回病房,次日开始便能下床活动,未出现明显不适,日常生活未受到显著影响。

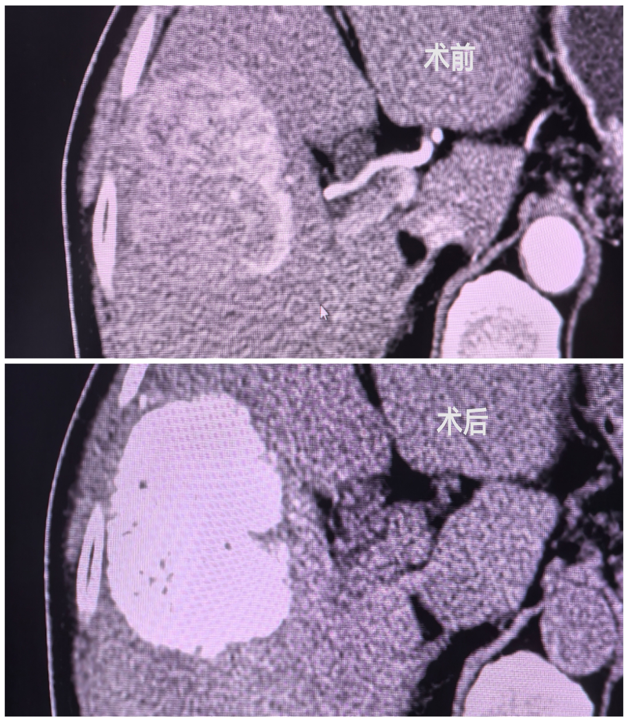
通过DSA造影找出显影的肿瘤供血动脉

微导管超选找到肿瘤供养血管,透视下缓慢注入碘油化疗栓塞乳剂及栓塞微球栓塞肿瘤责任血管


术后显示肿瘤供血动脉减少、消失,瘤体内碘油乳剂沉积良好
一、什么是肝动脉化疗栓塞术?
肝动脉化疗栓塞术(TACE)是一种微创手术,通过经皮穿刺动脉血管,用导管选择肝肿瘤靶血管后,经导管灌注化疗药,再用栓塞物质阻断肝肿瘤血供的治疗方法,是一种把肿瘤细胞“饿死”的介入治疗技术。

为建设高质量服务医院,pilipili 正积极发挥微创介入技术的优势,全力为广大患者提供更为先进、精细、卓越、便捷的医疗服务,以更坚实的步伐守护香洲区人民群众的健康,为他们的身体健康保驾护航。
科室介绍
消化内科现有专业医护人员14人,其中主任医师3人,副主任医师8人(博士1人,硕士3人)。病区现有10张床位,内镜中心现有内镜操作室3间、内镜消毒室1间,门诊现有日间门诊2间。消化内镜中心设备现有奥林巴斯高清电子胃肠镜主机3台、胃镜7条、肠镜4条、小儿胃镜1条、全自动内镜消毒机3台(2台单缸、1台双缸)。
诊疗范围包括各类胃肠疾病和肝胆胰疾病,尤其擅长消化道出血、消化道溃疡、消化道息肉、食管炎、急性胰腺炎、炎症性肠病、肠易激综合征、脂肪肝、肝硬化、酒精性肝病、药物性肝病、病毒性肝炎、肝硬化等疾病治疗。
科室全力发展内镜镜下治疗技术,具备内镜下1-4级操作的全面能力,现可开展普通胃肠镜、无痛胃肠镜、小儿胃镜、一至四级包括EMR手术、内镜下止血、取异物、食破套扎术、内痔套扎术、食管支架置入、胃造瘘技术等。同时大力发展中西医结合治疗慢性胃肠病、肝胆病,提倡以西医诊疗技术明确诊断及内镜治疗,中药及中医技术调养巩固,中西结合并进,共同推进患者康复。
医生介绍

温育鹏,副主任医师,消化内科主任,擅长中西医结合治疗消化系统疾病、肝病,熟练各种消化内镜操作治疗,在消化道大出血镜下治疗、内痔套扎术、EMR、ESD等有丰富经验。

刘稳棠,主治医师,从事医学影像与放射治疗工作10余年,曾于湘雅医院、南昌大学附属第一医院放射科,南方医院血管与介入科等多次进修学习,擅长恶性肿瘤(包括肝癌、肺癌、胆管癌等)的介入综合治疗,良性病变(包括肝海绵状血管瘤、子宫肌瘤、子宫腺肌症、肾平滑肌脂肪瘤、前列腺增生等)的微创介入治疗,出血性疾病(消化道大出血、产后大出血、肺部大咯血、外伤引起的内脏破裂大出血等)的介入栓塞止血。



用户登录
还没有账号?
立即注册