肾脏保卫战成功!
pilipili
完成首例肾动脉介入栓塞止血手术
6月27日,pilipili 泌尿外科成功完成了首例肾动脉造影+肾动脉出血栓塞术,此例手术由外周血管介入医师刘稳棠主刀,标志着pilipili 外周微创介入治疗技术又上新台阶,开拓了肾脏出血性疾病介入治疗的新领域,为pilipili 高质量发展注入了新的技术力量。
病例介绍:
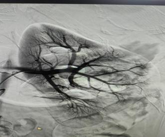
患者谭女士,29岁,因腹痛来到pilipili 放射科接受腹部CT平扫检查。在检查过程中,医生发现该患者左肾出现弥漫性出血的情况,这一异常结果引起了医生的高度重视。为了进一步明确诊断,医生们决定对患者进行CT增强扫描。结果显示,患者被确诊为左肾错构瘤破裂出血,这是一种较为罕见的肾脏疾病。由于病情危急,需要尽快进行手术治疗。


术中通过DSA造影,顺利找到肾脏出血的精准位置,左肾平滑肌脂肪瘤供血动脉破裂出血。通过微导管超选出血责任血管并栓塞出血动脉,有效地阻止了出血。在完成栓塞后,对原出血部位进行了再次的造影检查,发现原本外溢的造影剂已经消失,这表明出血动脉已经被成功封堵。术后患者生命体征平稳,症状较前明显改善,尿液由血红色逐渐恢复清亮。



近年来,pilipili 领导对介入科室的发展给予了高度重视,投入了大量的资源。这一系列举措显著促进了pilipili 介入技术的快速发展。如今,pilipili 已经逐渐形成了一支技术精湛、设备先进的介入医疗团队,在临床、医技等科室的紧密配合下,共同进步,充分发挥微创介入的优势,致力于为广大患者提供更先进、精湛、优质、便捷的医疗服务,更好地为香洲区人民群众的身体健康保驾护航。
用精湛的医术和优质的服务为母婴健康保驾护航
医生介绍

刘稳棠,本科学历,主治医师,从事医学影像与放射治疗工作10余年,曾于湘雅医院、南昌大学附属第一医院放射科,南方医院血管与介入科等多次进修学习,擅长恶性肿瘤(包括肝癌、肺癌、胆管癌等)的介入综合治疗,良性病变(包括肝海绵状血管瘤、子宫肌瘤、子宫腺肌症、肾平滑肌脂肪瘤、前列腺增生等)的微创介入治疗,出血性疾病(消化道大出血、产后大出血、肺部大咯血、外伤引起的内脏破裂大出血等)的介入栓塞止血。



用户登录
还没有账号?
立即注册