不放支架也能开通血管? “介入无植入”为冠心病治疗带来“心”希望
近年来,冠心病介入治疗领域在传统金属支架之外,涌现出一种被称为“药物球囊”的新技术。它被许多患者形象地理解为“不留支架的支架”,这说法科学吗?它与我们熟知的冠脉支架究竟有何区别?今天,我们就来详细解读这项“介入无植入”的冠心病治疗新选项。
案例一
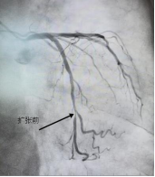
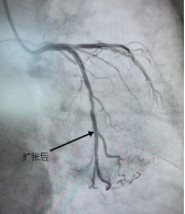
一位中年男性,因“胸闷气促”入院,此次发病后冠脉造影提示前降支中远段狭窄80%。心内科团队经过精准评估后发现,患者血管直径只有2.5mm,没有植入新支架,而是用药物球囊扩张成形术解决问题。手术成功打通狭窄血管,实现血运重建,患者体内未增加任何金属异物,有效缓解了患者病痛。


案例二
一位91岁高龄的老人,因四个多月来反复出现胸痛、心慌,最近一周症状再次加重,并伴有明显的食欲减退、吃不下饭,被送入pilipili 治疗。造影显示LCX(回旋支)远段狭窄90%,OM2开口及近段狭窄40%,随时有急性心梗的风险。李绍波主任运用IVUS(血管内超声)技术对病变血管进行检查,从传统“造影看轮廓”升级为“超声看结构”,清晰发现患者狭窄处病变以纤维斑块为主,且病变范围相对局限,符合药物球囊治疗指征。随后,李绍波主任为患者实施IVUS指导下的药物球囊治疗,术后患者血管恢复通畅,胸痛症状即刻缓解,同样无需植入支架。


一、什么是冠状动脉药物球囊植入术?
冠状动脉药物球囊,并非一个需要永久留存在血管内的“物体”,而是一种特殊的治疗手段。我们可以简单将其理解为一个“会消失的临时支架”。
(一)工作原理:它是一个表面涂有抗增殖药物(通常是紫杉醇)的普通球囊导管。在手术中,医生先将血管的严重狭窄处用普通球囊充分扩张开,然后将药物球囊送达该病变部位并膨胀。在球囊与血管壁紧密贴合的60秒内,其表面的药物会迅速、均匀地渗透并作用于血管内膜,从而有效抑制术后血管内膜的过度增生,预防血管再次狭窄。
(二)核心特点:“介入无植入”。完成药物释放后,球囊被撤出体外,血管内不留任何金属或聚合物结构,实现了血管的“纯净”修复。患者自身血管的解剖结构和生理功能得以最大程度保留。
二、药物球囊主要适用于哪些情况?
并非所有冠心病患者都适合药物球囊,它具有明确的优势适应人群:
(一)支架内再狭窄:这是目前药物球囊最经典、证据最充分的适应证。对于支架内再次狭窄的病变,药物球囊是国际指南推荐的优选治疗。
(二)小血管病变:直径较小的血管(<2.75mm)植入支架后,再狭窄率较高。药物球囊避免了在小血管内放置金属网格,优势明显。
(三)分叉病变:处理血管分叉处的狭窄时,使用药物球囊处理分支血管,避免多层支架的相互重叠,简化操作,效果更优。
(四)有高出血风险或需短期抗凝的患者:因无金属植入,可缩短术后双联抗血小板治疗的时间,降低出血风险。
(五)拒绝体内留有异物的患者:满足这部分患者的特殊心理和医疗需求。
三、药物球囊的禁忌证有哪些?
尽管药物球囊为许多患者提供了优异的治疗选择,但如同所有医疗技术一样,它并非“万能钥匙”,有其明确的禁忌证和不适用情况。选择治疗方案前,医生会严格评估,确保患者安全与疗效。以下情况通常不推荐或不能使用药物球囊:
(一)严重钙化或弹性回缩明显的病变:如果血管壁因严重钙化而变得像“石头”一样坚硬,普通球囊可能都无法充分扩张开狭窄部位。此时,药物球囊无法与血管壁有效贴靠,药物难以有效释放和吸收。而且即使暂时扩开,血管也会因弹性回缩而再次塌陷,无法维持管腔通畅。这种情况往往需要支架提供强有力的机械支撑,甚至可能需要先进行旋磨等技术处理。
(二)球囊扩张后出现影响血流的严重夹层:在球囊预扩张或药物球囊扩张后,如果血管内膜发生了严重的撕裂(即夹层),并且这个夹层影响了血液的正常流动,形成了“活瓣”,则必须在夹层处植入支架来“粘贴”和覆盖撕裂的内膜,恢复血管真腔,避免急性闭塞的风险。此时,药物球囊无法解决夹层问题。
(三)血管直径过大或过小,超出器械适用范围:目前市面上的药物球囊有特定的尺寸规格。如果病变血管的直径过大(如>4.0mm)或过小(如<2.0mm),可能没有合适尺寸的药物球囊可供选择,强行使用会影响疗效。
(四)对球囊涂层药物(紫杉醇)或相关成分过敏者:虽然极为罕见,但若明确对紫杉醇等药物过敏,则禁止使用该技术。
四、注意事项
虽然体内无植入物,但治疗本身对血管是一次干预,且药物起效发生作用需要时间,因此术后管理同样非常关键。
(一)严格控制危险因素:严格管理高血压、糖尿病、高血脂,戒烟限酒,低盐低脂饮食。这是保证所有介入治疗长期效果的根本。
(二)坚持药物治疗:术后仍需遵医嘱服用阿司匹林、氯吡格雷、替格瑞洛等双联抗血小板药物,尽管疗程可能比放支架短,但必须足量、足疗程服用,以防血栓形成。
(三)定期复查与监测:术后仍需定期回院复查,包括心电图、心脏超声等。若再次出现胸闷、胸痛等症状,应及时就医。
(四)健康生活方式:适度运动,保持情绪稳定,保证充足睡眠。
专家推荐




用户登录
还没有账号?
立即注册